IA revolucionará la medicina

Si hay un área donde hay verdaderamente entusiasmo por mejorar la vida con los avances que puede traer la inteligencia artificial, es la de la salud.

spot_img

En la Said Business School se reunieron esta semana investigadores en IA para debatir las posibilidades. Los debates sobre autos autónomos y aplicaciones en la industria financiera fueron muy interesantes. Pero los paneles sobre medicina y salud atrajeron multitudes.

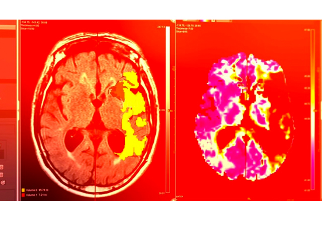
Michalis Papadakis, CEO de Brainomix, cuya tecnología ya está entrando a los hospitales para ayudar a los médicos, dice que hay un enorme potencial para mejorar los resultados con pacientes que hay tenido un ACV.

“Actualmente, cada 30 minutos un paciente con ACV, que podría haber sido salvad, muerte o queda permanentemente inhabilitado, no por el accidente cerebro-vascular, sino porque es admitido en un hospital que carece de la experiencia para diagnosticar y dseleccionar al paciente para un tratamiento que le salve la vida”.

Publicidad

Su producto, desarrollado con datos extraídos de miles de tomografías, ayuda a los médicos a interpretar las imágenes y tomar rápidamente las decisiones necesarias cuando se sospecha que el paciente ha tenido un ACV.

Esta es apenas una de las muchas aplicaciones prometedoras en medicina.

spot_img
spot_img
spot_img
spot_img
spot_img
spot_img
spot_img
spot_img
spot_img
spot_img

CONTENIDO RELACIONADO